大切な永久歯を抜かなければならないということは出来る限り避けたいものですが、様々な原因によって治療としてどうしても抜歯しなければならないことがあります。どうしても抜歯を避けられないとしても、その理由にご自分で納得したうえで抜歯の処置を受けたいものです。
どうしても抜歯しなければならないケースについてご説明します。
抜歯する前に考えておくべきポイントは以下の2つです。
抜歯しなくても治る可能性があるならば、出来る限り歯を残すべきで、抜歯するべきではありません。しかし抜歯という最終手段を安易に行う歯科医も残念ながら一定数いることは事実です。そのため、患者さんは一つの医院だけでなく、セカンドオピニオンを受ける事も必要です。

歯を抜く診断基準はかなり難しいです。一応基準はあるのですが、明確にはっきりとしている訳ではありません。
特に、歯科医師によってかなり変わります。
当院の抜歯基準は、「実際に機能している歯はできるだけ抜かずに残すようにしますが、抜かないことでその歯が周囲に悪影響を及ぼす場合は抜歯を提案する」ようにしています。
しかし、どうしても抜きたくないとおっしゃる患者さんに対して無理に抜歯を行うことはいたしません。


虫歯がかなり大きくて歯ぐきの中まで虫歯が進んでしまってる場合には、抜歯になることが多いのですが、虫歯を削っ取った後に、歯ぐきや骨の中に埋もれてる歯の健康な部分を歯茎の上に出すという方法があります。
方法は2つあって、「歯冠長延長術」と「歯根廷出術」です。
● 歯冠長延長術(クラウンレングスニング)
虫歯を削った残りの歯の部分が、歯ぐきの中に入り込んでる場合、歯を歯ぐきの上に出す方法の事です。
具体的には歯周外科処置を行います。
埋もれた部分を歯ぐきの上に出せば、かぶせ物をすることができます。
費用は保険が効きます。

● 歯根廷出術(エクストルージョン)
歯冠長延長術は歯周外科処置ですが、歯根廷出術は矯正的な処置です。
埋もれた部分を歯ぐきの上に出せば、かぶせ物をすることができます。
費用は、矯正治療になるため保険がききません。

《 出典 》歯根破折歯に挺出処置を応用した1例(岩手医科大学歯学部)


歯が割れてしまうことはよくあります。このような場合に歯科医師の技術の差が最も出ます。接着の技術や、顕微鏡を使って治療したり、色んな方法で抜かずに済む場合があります。
歯を抜くか抜かないかは、専門の歯科医師の正確な判断を聴くことが不可欠です。
⇒ 歯が割れた場合の歯の根っこにばい菌が感染して炎症を起こしたり、膿が溜まることは非常によくあります。 その場合に、根っこの治療(根管治療)が上手な歯科医師であれば、治療して治して抜かずに済みますが、それが苦手な歯科医師だと、患者さんに「この歯は抜かないとだめですね〜」とか言ったりします。根っこの治療は歯科医師によって治療技術の差が非常に出やすいので注意してください。例え歯科医師が抜かないといけないと言ったとしても、抜かずに治せないかどうか必ず確認して下さい。
根管治療で歯を残すか抜くかの判断基準はかなり難しいです。根管治療が得意な医院を必ず受診されてください。


《 出典 》口腔外科相談室 抜歯(日本口腔外科学会)
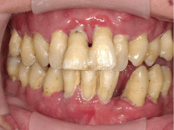
歯周病の治療では、できるだけ歯を残すことを目的として治療を行います。そのため、出来るだけ多くの歯を残すためにはどうすれば良いかを考えて治療するわけですが、どうしても残すことが出来ない場合は、抜歯をおすすめすることもあります。
その歯が存在していることで、周囲の骨がどんどん溶けてなくなってしまったり、絶えず膿が出て口臭がひどかったり、他の歯やお口の中への悪影響が考えられる場合にのみ、抜歯を行います。

歯はなるべくなら抜かない方が良いので、極力抜かないで治すようにしています。しかし万が一、本当に抜歯しなければならないとしても、大切な永久歯を抜くわけですから、丁寧にご説明してご納得頂いてから抜歯をします。 また、抜歯の際には痛みの無い方法を心がけています。
そして、抜いた後の治療法についても全ての治療法をわかりやすくご説明しますので、お気軽にご相談下さい。
抜いた後の治療法によって抜歯の方法が変わってきます。
抜歯後に歯を補うためには ブリッジ、インプラント、入れ歯という方法がありますが、もしインプラントをされるのでしたら、抜歯の方法が変わります。
歯を抜くと、骨の中に穴が開きますが、その穴を早く治したり、元の骨と同じ状態に治したりすることができます。
そのテクニック(ソケットプリザベーション)は、特にインプラントには必要となることが多いです。
場所が前歯ですと審美性にかかわりますし、奥歯だと太くて長いインプラントを入れれるかどうかにかかわってきます。
そのため、抜歯前に、その後の治療についてもじっくりお考え頂きたいと思います。
実際に抜いた後の治療について
抜歯後どうするかについては4つ考えられます。それぞれにメリットとデメリットがあり、保険治療で可能な治療と自由診療になる治療がありますので、以下のリンク先のページでご説明します。
抜歯のお悩みを解決してくれる