痛みの少ない治療を心がけています

当院では麻酔をする際に痛みを感じる痛点を避けたり、麻酔薬を体温と同じくらいに温めてゆっくり注射することで痛みを感じにくくしています。
どのような治療においても痛みが出ないように細心の注意を払い、痛みを感じにくいように治療を行います。

親御さんはお子さんの歯について悩んでおられたり、治療について不安を感じておられると思います。当院では治療前に患者様からしっかりお話をお伺いし、ご希望に沿った治療プランや治療内容をわかりやすくご説明します。
また通院回数がなるべく少なくなる治療を心掛けています。

お子さんは成長の途中なので成長を利用して骨格や歯並びを治すこともできますし、小さい頃からの虫歯や歯周病の予防習慣をつけることがすごく大事になります。

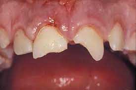
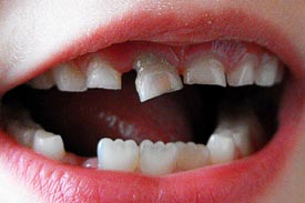
虫歯は削ったら治るというものではなく、削ると歯を痛めますので、ならないことが1番大事です。
小さい頃から虫歯を予防し、12才になって大人の歯に全部生え変わった時に虫歯が1本もないことを達成することは決して難しくありません。

もちろんお子さんにもわかりやすく楽しく歯の治療の説明もいたしますが、親御さんにも十分治療のご説明をし、納得をいただいてからお子さんの治療をいたしますので安心していただけます。

学校や塾が終わった後でもお子さんが来院しやすいように
夜8:00まで診療しています。

梅田院・なんば院・心斎橋院・天王寺院・京橋院・豊中院・高槻院・茨木院・三宮院・西宮院は各駅からのアクセスが便利で大変通いやすいです。吹田院・豊中院は駐車場が多数あり、お車でも通いやすい医院です。
































































