



このようなお口に関する
お悩みはありませんか。
そんなお悩みの方には、
セラミック治療がおすすめです。

※症例紹介の費用は掲載時点の金額です。治療費用は改定される場合がありますので、最新の料金はお問い合わせください。
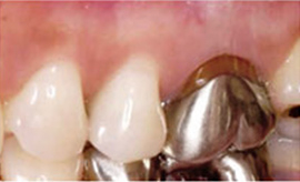
症例1:30代女性
《 Dr.からの一言 》
お口を開けた時に銀歯が見えるのがずっと気になっていつも手でお口を隠しておられた方です。
銀歯を取り外して白い歯に変えたことによって、人としゃべる時も全く気にならなくなり、大変喜んでおられました。

【治療内容】銀歯を白いセラミックに変えました。
【費用】セレッククラウン1本69,800円(税抜)。セラミックインレー(詰め物)1本48,000円(税抜)
【リスク】歯を過剰に削らない限りリスクはほとんどありません。
症例2:40代男性
【治療内容】銀歯を白いセラミックに変えました。
【費用】セラミックインレー1本48,000円(税抜)
【リスク】歯を過剰に削らない限りリスクはほとんどありません。
症例3:30代男性
【治療内容】銀歯を白いセラミックに変えました。
【費用】セラミックインレー1本48,000円(税抜)
【リスク】歯を過剰に削らない限りリスクはほとんどありません。
症例4:30代女性
【治療内容】銀の詰め物をしていた部分をセラミックインレーにしました。
【費用】セラミックインレー1本48,000円(税抜)
【リスク】噛む力の強い方は割れることがある。
セラミックによる審美歯科治療のご案内
白い歯になり口元を隠す必要がなくなると、笑顔が増えると思います。
では、銀歯を白い歯に変えるとは、具体的にどのようなものか、ご説明します。

白い歯にするメリット
銀歯を白い歯にするとどのようなメリットがあるがご紹介します。
主に5つのメリットがあります。
1.コンプレックスからの解放

笑った時に光る銀歯が恥ずかしくて、口元を手で隠して笑っていたという方もいらっしゃると思います。
歯の治療に割く時間がないからと後回しにしていても、人に会う度に銀歯が光るから手で隠さなければと頭の隅で考えていると、人に会うのも疲れるでしょう。
銀歯を白い歯に変えることで、人前で大きな口を開けて笑うことが出来るようになり、性格も明るくなります。
セラミック治療を行えば、もう手で隠す必要はありません。
2.金属アレルギー及び、体内への金属蓄積のリスク軽減


銀はどちらかと言えば、イオン化する傾向が少ない物質ではあります。ただ、ゼロというわけではありません。
唾液によりイオン化した金属が体内に蓄積すると、金属アレルギーを引き起こすリスクに繋がります。
歯茎が黒くなるという現象も、イオン化した金属が溶けだすために、そのような状態になると言われています。
銀のほか、亜鉛や銅、ニッケル等の金属も含まれています。
銀歯をセラミックに変更すると、金属が含有されておらず、溶け出す心配がありません。体内への金属蓄積など健康面の影響の不安は解消されます。
3.金属のスプーンを噛んでも痛みはなし

食事中に金属製のスプーンを噛んで、キーンと銀歯が痛んだ経験がある方は多いでしょう。
それは、ガルバニー電流と呼ばれるものです。
金属の質が異なるもの同士が、唾液を介して接触を起こすと、電位差が生じます。
電位差が生じると電流が流れ、それが痛みに繋がります。
ガルバニー電流は歯の痛みだけではなく、自律神経の乱れや、頭痛や肩こりなどの身体の不調に影響を及ぼすと言われています。
セラミックの歯は陶器と同質ですので、電流などの心配をせずに食事を楽しむことができます。
4.二次虫歯の予防

銀歯はそれに加えて被せ物や詰め物の間に隙間ができやすい性質です。
年月を経るうちに歯と銀の被せ物の間に食べかすが入り込み、銀歯の下で虫歯が再発するというケースも大変多いです。

セラミックの歯は陶器と同質なので、型取り通りの作製であれば、隙間が出来てしまう心配もありません。歯と被せ物の隙間がない為、二次虫歯の再発リスクを防ぐ事が出来ます。
5.歯垢が付きにくいため歯周病になりにくい

セラミックは審美性に優れているだけでなく、金属などに比べ歯垢がつきにくいので、歯周病になりにくくなるというのも利点のひとつです。
白い歯にするデメリット
セラミック治療のメリットばかりではなく、きちんとデメリットもご紹介します。
主に2つのデメリットがありますので、順番にご紹介いたします。
1.費用
セラミックの歯は自費診療なので、保険適用の銀歯に比べ治療費が高額になります。
2.強度がやや劣る
金属に比べ強度がやや劣るため、割れる可能性があります。
(当院では3年間の保証をつけております)
銀歯とセラミックの比較表
| 銀歯 | セレック クラウン |
オールセラミック ジルコニアセラミック |
|
|---|---|---|---|
| 値段 |
|
|
|
| 見た目 |
|
|
|
| 純粋な強度 |
|
|
|
| 経年劣化 |
|
|
|
| アレルギー |
|
|
|

その1: 痛みに配慮した治療
無痛治療と麻酔の方法に
力を入れています

当院は無痛治療を心がけ、とりわけ麻酔の方法にも力を入れております。
例を挙げて申し上げれば、麻酔治療の際の注射針は、超極細の針を使用しています。また、麻酔薬を体温と同じ程度の温度に温めてゆっくり注入するなど、痛みを感じにくいように細心の注意を払っています。麻酔が効き始めれば痛さを感じにくくなる為、歯を削る際の痛みが出にくい治療と言えます。人により、治療後に痛みが出るか出ないかは様々ですが、当院は患者さまに寄り添う治療を行います。
その2: キレイで自然な色
自然の歯のような
美しい仕上がり

セラミックは人工物ですが、銀歯と大きく違う点があります。それは、見た目の差です。 セラミックの歯は天然の歯と見分けがつきにくい、審美性の高い歯です。審美性の高い歯、すなわち白い歯と思われる方が多く おられますが、多くの東洋人の健康的な歯は、アイボリーがかった白色です。実際に型取りを行い、ご自身の歯の色に沿った白さを提案いたします。
ただ、セラミック治療を行うならば、更に白くしたいとご希望の方もいらっしゃいます。 そのような患者様には、事前に別のタイミングでホワイトニングをしていただき、ホワイトニング後の歯の白さに合わせた自然な白さのセラミックの歯を作製いたします。
その3: 精密な仕上がり
熟練した専属の
歯科技工士が製作を担当

当院では他の技工所に作製を依頼しておりません。経験を積んだ歯科技工士が精密に患者様のセラミックの歯を作製しております。セラミックの症例数が多いドクターが在籍する以外に、技工士の精密な作製で、患者様が納得いただける仕上がりの歯を被せることができます。

※保険が適用されない自由診療です
デンタルローンにより最大120回まで 当院独自の分割プランです。
金利手数料は 実質年率3.6%です。




症例数12,200人以上のセラミックの実績と、
100名のドクターが治療をご提供します。
1989年からの12,200人以上(医療法人真摯会グループ全体)の審美歯科(セラミック)の症例数で、セラミック治療を習得している歯科医師を擁し、さらに、当院はベテランのセラミストが作っている、セラミックを使用しています。


痛みの少ない治療を
心がけております。

痛みをできるだけ少なくする無痛治療を心がけています。
また、たとえば麻酔をする際には麻酔薬を体温くらいに温めることで、麻酔自体の痛みも軽減するように処方するなど工夫を凝らした施術を心がけております。

インフォームドコンセント(説明と同意)を徹底しています。
これは当たり前のこととも言えますが、治療に際してはとことんご説明させていただきます。
メリットばかりではなく、デメリットもきちんとご説明してから治療に入るようにしております。
患者さまには十分に納得いただくことで、安心してお任せしていただけるように。当院の配慮です。


金属アレルギーの方も、
安心して治療していただけます。

当グループの技術では完全な金属なし(メタルフリー)の治療ができます。
従来は難しかったブリッジタイプのかぶせ物でも、メタルフリーで治療できますので、金属アレルギーの方も安心して施術を受けていただけます。

キレイになった後も
安心の3年間保証制度が
あります。
審美治療が終わってから、かぶせ物の破損に関して3年間の保証期間を設けております。(ただし、定期健診に応じていただけない方は歯ぐきや骨の状態が変化することがありますので対象外となります。)


美しい歯を長持ちさせるために処置後も、
充実したメンテナンスをご提供しています。

審美歯科治療が終わったあと、その歯を健康にキープするためには歯周病にならないことが大事です。
基本的に歯周病にならなければ、歯はずっと持ちますので定期的なメンテナンスが重要となります。
当グループでは、一度治療をしたら終わりではなく、患者様の健康が一生涯保てるように努力しております。

無料初診カウンセリング
患者さんにとっては、どんな治療法があるのか?どんな医院なのかなど、不安があると思います。
まずは、気になることをお気軽に聞いて下さい。
そこでしっかりとお話を聞かれて、ご納得いけば治療を受けられたらと思います。
当院では治療をすぐに開始するのではなく、初診カウンセリングを行います(費用:無料)。


カウンセラーがいるので安心

●治療前・・・
来院前の不安やご質問をメールやLINEでお受けします。もちろん無料ですのでお気軽にお質問下さいね。
●治療中、治療後・・・
専任のカウンセラーがいて、患者さんのご希望をしっかりお聞きします。セラミック治療はすごくデリケートなので、カウンセラーは凄く大事です。

まずは、セラミック治療で
気になることを
お気軽に聞いてください。
十分お時間を取り、
親切丁寧に
ご説明させて頂きます。
初診料も無料です。
レントゲン代も、検査の費用もいただきません。