
差し歯って名前が変ですよね!
なんで差し歯って言う名前かと言うと、昔の歯医者は本当に歯の根っ子に人工の歯を刺して治療してたらしいんです。
その名残が残って、差し歯という名前がついています。(今はそんな乱暴な治療はどこの歯医者もしてませんから安心して下さいね。)

▲歯の根っ子に突き刺す差し歯のイメージ
今では、実際にはかぶせる歯のことが差し歯と呼ばれています。
ただ、差し歯はいわゆる俗語でして、正式名ではないです。(正式名はクラウンと言います)
なので、前歯だけでなく、奥歯のかぶせる歯のことも差し歯と呼ばれることもあります。
差し歯の原理をご説明しますね。


差し歯は、虫歯などで歯の神経を取ってしまった歯の根っ子に、まずは土台を入れてその上から、かぶせ物をする治療方法の事を言います。
神経を取った歯は、強度が落ちることと、虫歯で歯をかなり削ってしまって歯があまり残ってないので、土台を入れて、歯の強度と大きさを回復したのちに、かぶせ物をするのです。

当院では差し歯は保険が効きますので安心できます。
具体的な費用を前歯と奥歯に分けてご説明します。
1:前歯の具体的な差し歯の治療費
当院は完全に保険が効きます
前歯の場合(3割負担の方)
● かぶせる為に歯を削る費用1910円(636点)

● 型を取る費用250円(82点)

● 仮歯の費用100円(34点)

● かぶせる歯の費用5480円(1828点)

です。(奥歯はもっと安くなります)
この費用に初診料(900円)や再診料(180円)とか、レントゲン代(1200円)、麻酔の費用(100円)、もし検査をすれば検査代(600円)などがかかってきます。
いずれにしても、当院は保険が効くので、ご安心くださいね。
2:奥歯の具体的な差し歯の治療費
当院は完全に保険が効きます
奥歯の場合(3割負担の方)
● かぶせる為に歯を削る費用
銀歯の場合500円(166点)
白い歯の場合1910円(636点)

● 型を取る費用250円(82点)

● かぶせる歯の費用
《小臼歯》
銀歯の場合2630円(876点)
白い歯の場合4470円(1489点)
《大臼歯》
銀歯の場合3130円(1044点)
白い歯の場合5200円(1733点)
(注意:大臼歯の保険の白い歯は適用条件があります)

この費用に初診料(900円)や再診料(180円)とか、レントゲン代(1200円)、麻酔の費用(100円)、もし検査をすれば検査代(600円)などがかかってきます。
いずれにしても、当院は保険が効くので、ご安心くださいね。

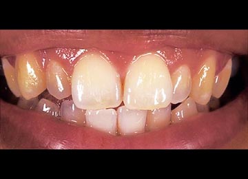
差し歯が黄色くなったり、黒ずんだり、付け根が黒くなったりすることはよくあります。
そんな時に、差し歯を付け替えてセラミックに交換することでキレイにすることができます。
差し歯と歯の境目が黒くなった方 :
30代女性
付け根が黒くなった方 : 30代男性
差し歯全体が黄色くなった方:
50代女性
付け根が黒くなった方 : 30代男性
歯が抜けた後に入れる差し歯はいわゆる「ブリッジ」と言います。
抜けた歯の両サイドの歯を削って、3本つながった歯をかぶせます。この3本つながった歯のことを「ブリッジ」と言います。


▲前歯のブリッジの例

▲銀歯のブリッジの例(白い歯でもできます)
ブリッジにはメリット、デメリットがあります。当院では、デメリットに対する対策もしています。

《ブリッジのメリット》
1. 歯を削って、型取りして作るだけなので治療が比較的簡単
2. 基本的に治療期間が短い
3. 保険が効く場合は安くできる
4. 噛む力はしっかり出る
5. 違和感が少ない
《ブリッジのデメリット》
1. 歯を削らないといけない

2. 削った後で痛みが出ると神経を取らなくてはいけない
3. 支えてる歯に負担がかかる

4. 保険の場合は、奥歯は銀歯になる

5. 歯磨きを丁寧にしないと歯周病になりやすくなる
6. ブリッジの一部に異常が起こった場合に、全部やり直しになる

《当院のこのデメリットに対する解消法》
ブリッジの最大のデメリットである、「歯を削る」という事に関して、極力歯に負担の無い削り方をしています。
1. 削る量自体を最小限に
2. 削る時に歯に圧力をかけないようにし、歯の神経を守る
3. なるべく歯の神経を残すブリッジ治療をしている
4. 削らないブリッジも採用している

歯並びが悪い方の場合、大げさな矯正治療ではなく、差し歯をかぶせて歯並びを治したい方もおられると思います。
歯並びは差し歯をかぶせることで、結構治ります!
例をご紹介しますね。
歯がガタガタで気になる方1:
30代女性
歯がガタガタで気になる方2:
30代女性
八重歯の方1:20代女性
八重歯の方2:30代男性


短期間で前歯がキレイになります
歯を削ってかぶせて差し歯にするだけなので、2~3回の通院で綺麗な歯になります。(神経治療が必要ない場合)
短期間でガタガタ歯などの歯並びの問題を改善したい方にもおすすめです。
もし、矯正治療をする場合は数か月から2年くらい期間がかかりますが、差し歯なら数週間で前歯の歯並びがキレイになります。
⇒ セラミック治療をご希望の方の場合はこちら

痛みを抑えた治療なので安心です

麻酔が効けば痛みは感じないのですが、当院では麻酔自体も痛くなくすることができるので安心です。
⇒ 当院の麻酔が痛くない理由はこちら
治療中もキレイな仮歯を
ご用意しています。
いくら最終的にきれいな歯が入ったとしても、治療途中がきれいでない状態はよくありません。
当グループでは治療中も必ず仮歯をお入れして、患者さんのQOLが下がらないように十分な配慮をしております。


患者様の立場になって
治療を行います

患者様は歯について悩んでおられたり、治療について不安を感じておられると思います。
当院では治療前に患者様からしっかりお話をお伺いし、ご希望に沿った治療プランや治療内容を患者様にわかりやすくご説明します。
また通院回数がなるべく少なくなる治療を心掛けています。

インフォームドコンセント(説明と同意)を徹底しています。
これは当たり前のこととも言えますが、治療に際してはとことんご説明させていただきます。
メリットばかりではなく、デメリットもきちんとご説明してから治療に入るようにしております。
患者さまには十分に納得いただくことで、安心してお任せしていただけるように。当院の配慮です。


土曜も夜8:00まで診療しています

お忙しくてなかなか歯医者に行く時間がないという方も来院しやすいように
夜8:00まで診療しています。

通いやすいクリニック
