ひどい虫歯の方はたくさんおられますし、本当にお悩みだと思います。
そんな方のお悩み、疑問点を全て解消したいと思います。
ひどい虫歯の方が思っておられるご心配事を全てご説明します。
ひどい虫歯の方のお気持ち
1: 虫歯がひどすぎて、歯科医師が見たらビックリされるんじゃないかという心配。
2: ひどい虫歯のお口の中をみられるのが恥ずかしくて、口を開けれるだろうか?
3: 以前、歯科医師に「すごい虫歯だらけだね」とか、怒られたりした経験をお持ちでそれがトラウマで歯医者に行けなくなってしまった。
それぞれ丁寧にご説明しますね
ひどい虫歯がたくさんあったり、抜けたまま放ってる歯がいくつもあったりした場合とかは、歯科医師に「よくここまで放っておいた」という目でみられるのではないかと思う方は多いと思います。
中には、確かにそういう目でみる歯科医師も現実にはいるかもしれません。
ただ、私たちの医院ではそういう目で患者さんをみることは絶対ありません。
私たちはむしろ心配して、どうやって早く、そしてストレスや痛みなく治してさしあげるか、そういう事ばかり考えています。

なので、お口の中をみて絶対にビックリすることはありませんので、どうぞご安心くださいね。
現実に、私たちの医院にはひどい虫歯の患者さんがたくさん来られています。
(もし、治療せずに放っておいたら、どんなリスクがあるかはご説明しますが、それは医師として患者さんの為にご説明するだけですので、ご心配されないでくださいね)
また、私たちの医院は初診カウンセリングをしていて、治療の前に患者さんのお話をじっくりお聞きしています。
このカウンセリングの場で色んなご心配な事をお話頂ければ丁寧に対処させて頂きます。
そして、治療に入る前に、必ず治療の概要の説明をして、ご納得して頂いてから治療に入ります。
いきなりすぐ治療するという事はありませんのでご安心くださいね。
そのお気持ちはすごくわかります。実際に患者さんがご自身でそう仰る事もよくあるからです。
特に女性の方とか若い方とかは、こういう心配をされると思います。
現実に、「女性なのに、あるいは若いのにここまで虫歯が増えるまで放っておくなんて」とかそういい目でみる歯科医師も中にはいるかもしれません。
私たちの医院では、そういう思いを持たないために、人間としてのモラルや人の事を思いやる気持ちを持つことを理念としておりますので、そのようなことは絶対にありません。

また私たちは、ひどい虫歯の方をたくさんみてるので、そもそも虫歯だらけのお口の中をみても、そういう感情を持たないです。
ひどい虫歯の方があまり来院されない医院では、そういう目でみる歯科医師もいるかもしれません。
なので、本当にどうぞご安心してあなたご自身の将来のためにも是非お気軽にご来院くださいね。優しい歯科医師が待ってます。
また、女性歯科医師をご希望の場合も仰って下さいね。当院は女性歯科医師もたくさんいます。
歯科医師も人間ですから、色んな人がいます。
そんな中で、患者さんにデリカシーの無い歯科医師もいます。
たまたま、そういう歯科医師にこんな事を言われてしまった事がきっかけで、その後歯医者に行けなくなってしまうなんて、本当に残念です!
そういう経験をされた方は、こうお考え下さい。
「デリカシーの無い、人間として良くない歯科医師にたまたま当たってしまった。
普通はそんな歯科医師は少ないので、次に行く歯医者ではそんな事を言われない確率が非常に高いのでなんとか行こう」と考えて下さい。
ただ、今度歯医者に行ったときは絶対にそんな歯科医師に当たりたくないと思っておられると思います。

私たちの歯科医院では、治療技術だけでなく、そういう人間としてのモラルや、人に対する愛情を非常に大事にしています。
なので、どうぞご安心してお越しになってくださいね。
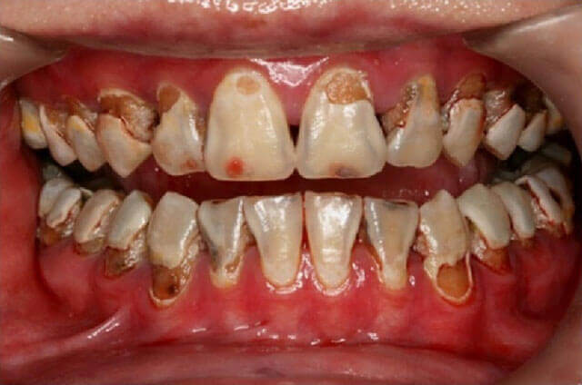
虫歯がひど過ぎたり、抜けた歯があったりして、お口の中がボロボロなのに、本当にちゃんとキレイに治るんだろうか?という疑問をお持ちの方は多いと思います。
これにつきましては、完全にご安心下さい。
我々は歯科治療のプロですので、どんなお口の状態の方でも完全に治せます。

上図のように、ひどい虫歯がたくさんある方でも、当然治せます。
また、上図のように歯を何本も失った方でも完璧に治療ができます。
虫歯がひどい為に、保険は効くのだろうか?治療費がどのくらいだろうか?
というご心配を持たれると思います。当院は虫歯の治療費は完全に保険が効きます。
保険が効かないのは、セラミックの歯を入れる時くらいです。
ただ、無理にセラミックを入れる必要はありませんし、無理に薦めることは絶対にありません。
具体的な虫歯の治療費はこちらをご覧ください

虫歯の治療の痛みが怖いという方は非常に多いです。
無痛で治療ができればそれは解決します。
私たちの医院では、無痛治療に非常に力を入れてますのでご安心くださいね。
当院は本当に無痛治療をしています。
そのやり方を丁寧に説明してますので、是非ご覧ください
どんなに怖くても治さないことには前に進めないです。まずはお気軽にご相談くださいね。
親切な歯科医師や衛生士が丁寧にご説明しますね。

お仕事がお忙しい方や、歯医者があまり好きじゃない方は、どうしても治療の期間や回数が気になって、行くのが億劫になる方がおられます。
そういう方は、虫歯をなるべく一度にたくさん治したり、色々方法があります。
詳しくはこちらをご覧下さいね

虫歯のお悩みを解決してくれる