
- クローバー歯科の
子供さんの治療に対する考え方 

このサイトでは子供の歯のよくあるご相談ベスト18について詳しくご説明しております。


乳歯が虫歯になってしまった場合、心配ですよね!どうすればいいのかわかりやすくご説明しますね!
乳歯はどうせ生え変わるので虫歯の治療はしなくて良いとお考えのお母さんもおられます。
乳歯の虫歯を治さないといけない理由からまずご説明します。
歯の表面はエナメル質という成分からできていますが、乳歯はこのエナメル質が薄いんです。
虫歯はエナメル質からできて進んで行きます。その時に、エナメル質が薄いと当然、進行が早いわけです。

▲乳歯と永久歯のエナメル質の厚みの違い
また、乳歯のエナメル質は、永久歯のエナメル質よりも柔らかいので進行も早くなります。

歯はそもそも、生えてから、唾液の中のカルシウムと引っ付いて硬くなりますが、生えたばかりの乳歯はカルシウムと引っ付く期間が短いため柔らかいのです。
虫歯になってから、数か月で神経まで進んでしまうことがあります。
ただ、乳歯は痛みが出にくいという特徴があるので要注意です。
(子供さんは歯の神経の感覚の発達が少ない為)

乳歯は柔らかいため、広範囲に広がりやすいのですが、それだけではなく、注意が必要なのは、哺乳びんでジュースなどの甘い物を飲ませていると、短期間に広範囲に大きな虫歯ができることがあります。

乳歯が虫歯になると、ちゃんと噛めず、噛む力も弱くなります。

そうすると、アゴの発達も悪くなってしまい、永久歯が生えるスペースがなくなってしまって、ガタガタの歯並びになりやすいです。
また、乳歯が虫歯で欠けてしまうと、欠けた分だけ、永久歯の位置がずれてしまいます。多くの場合で、永久歯が欠けた分だけ前方に移動します。
そうすると、永久歯が込み合ってしまい、ガタガタの歯並びになってしまいます。
まして、虫歯で乳歯が抜けてしまったら、更に永久歯が大きくずれます。
また、歯並びが悪いことで性格も消極的になることもあり、精神面の発達にも良くないです。

乳歯の虫歯が進行して痛みが出た場合はもちろんですが、虫歯で乳歯が欠けた場合でも、噛む能力が落ちます。
そうすると、大切な栄養の摂取が少なくなり、成長にも影響が出てしまいます。
また、噛みやすい箇所で噛もうとするため、変な噛み癖が付いたり、食べやすいものを食べようとするので偏食になる可能性もあります。


乳歯が虫歯になって進行してしまうと、根っこの先に膿がたまってきます。
乳歯の下に控えてる永久歯もその膿を介して虫歯になってしまうことも多いです。
また、膿によって変色したり、膿を避けて生えようとして、凹凸のある永久歯になることもあります。
子供さんの虫歯治療は大人と違います。
「虫歯のない子供さんをたくさん作ること」「二度と虫歯にならないようにすること」
これが最も大事なことだと考えています。




子供さんの永久歯が虫歯になったら心配ですよね!
子供さんは大人より虫歯になりやすいです!
理由をご説明しますね。
歯の表面はエナメル質という成分からできていますが、子供の歯はこのエナメル質が柔らかいんです。
虫歯はエナメル質からできて進んで行きます。
その時に、エナメル質が柔らかいと当然、進行が早いわけです。

▲子供さんのエナメル質は大人より柔らかい

歯はそもそも、生えてから、唾液の中のカルシウムと引っ付いて硬くなりますが、生えたばかりの永久歯はカルシウムと引っ付く期間が短いため柔らかいのです。
完全に固くなるのは25才と言われています。
ですので、虫歯になってから数か月で神経まで進んでしまうこともあります。
予防と、早期発見、早期治療が大事です。
ただし、小さい虫歯は削らずに様子を見た方が良い場合もあります。

子供さんにとって、甘い物は栄養源でもあり、精神的にも絶対に必要です。ただ、大人よりも、より好んで食べるため、虫歯になりやすいのです。
虫歯の原因は甘い物(糖分)を食べることが多いのですが、甘い物を食べてなくても虫歯になることがあります。それは、甘いジュースをだらだら飲むことです。
甘いということは、当然糖分が入ってます。甘さ自体も問題ですが、頻繁にだらだら飲んでると、お口の中で滞留し、虫歯菌が暴れてしまいます。
また、炭酸飲料は酸性度が強いので、歯を溶かしてしまって虫歯になります。
このように、子供さんの虫歯は進んで行きますので注意が必要です。

上の図のように、PH(酸性度の目安)が下がると、歯が溶けてしまいますので、ちょこまかと飲食をするのは良くないのです。
対処法は、時間を決めて、甘い物やジュースなどを取るようにしてくださいね。
子供さんに仕上げ磨きをきちんとしてあげてる場合は、良いのですが、子供さんに任せてる場合などは、虫歯になりやすくなります。
仕上げ磨きについては、こちらをご覧くださいね。
子供さんの虫歯治療は大人と違います。
「虫歯のない子供さんをたくさん作ること」「二度と虫歯にならないようにすること」
これが最も大事なことだと考えています。


子供さんの虫歯に関しては、治療より予防の方がずっと大事です。理由は、いくら早期で発見して治したとしても歯を削らないといけないですし、頻繁に虫歯になるようでは、進行も防ぎきれないからです。
ここでは、効果的な虫歯予防の方法をご説明しますね。

フッ素は、まだ構造が完成していない子供さんの永久歯のエナメル質の中に取り込まれ、構造を強く固くします。

初期の虫歯はフッ素を取り込ませることで、進行が止まり、再びエナメル質を硬くさせます。これを「再石灰化」と言います。初期虫歯の場合は、フッ素だけで改善することもあります。

フッ素自体に抗菌作用があり、虫歯菌の働きを抑えて、虫歯菌が歯を溶かす酸を作るのを防ぎます。

フッ素を塗ってしばらくの間は、歯の表面をフッ素が覆っている為、虫歯菌が歯に付着しにくくなります。その為、フッ素塗布後はあまりうがいをせず、1~2時間食事も控えると更に虫歯予防効果が出ます。

基本的には、歯が生えたらすぐに塗るのが良いです。乳歯や生えたばかりの永久歯は柔らかくて、フッ素とか、唾液中のカルシウムを取り込んで固くなります。ただ、生えて絶対にすぐ塗らないといけないということではないです。遅くとも上下の前歯が生える頃には塗った方が良いです。
また、フッ素は歯を硬くして虫歯になりにくくさせてくれますが、絶対に虫歯にならないということではありませんので、仕上げ磨きをしっかりすることや、定期的にフッ素を塗ることが大事です。
当院では、フッ素をいつ塗るかについては、子供さんの状況をしっかりみてから判断していますのでご安心くださいね。

フッ素が一番効果があるのは、歯の表面のエナメル質が柔らかい0歳から15歳くらいです。ただ、実際にエナメル質が完成するのは25歳と言われてますので、歯を硬く丈夫にするためには、25歳くらいまで塗った方が良いです。
また、フッ素には歯を硬くするだけでなく抗菌作用もありますので、当院では大人の方の定期検診の際も塗っています。

3か月に一回くらいが良いです。
理由は、乳歯や子供さんの永久歯は柔らかい為、何度も塗らないといけない事と、虫歯になりやすいので、その予防の為の虫歯チェックや歯磨きチェックの定期検診が必要なので、そのタイミングに合わせる為です。

本来、フッ素塗布は予防診療と言われ、保険が効きませんでした。歯科に限らず一般的にそうです。ただ、私どもの医院は、「かかりつけ機能強化型歯科医院」という、全国でも16%しかいない医院に選ばれましたので、保険治療でフッ素塗布をすることができます。
子供さんの医療費は自治体によって違いますが、1回の治療が0円〜500円ですので、フッ素塗布はその範囲で行うことができます。また、保険診療なので医療費控除の対象にもなります。

フッ素は元々、土の中や海の中にありますし、食べ物にも含まれています。歯科医院で塗布するフッ素は9000ppmという高濃度ですが、歯科医院の管理下で行うので全く問題はありません。
また、市販の歯磨き粉等には、フッ素が含まれているものがありますが、それは厚労省が認可した濃度ですので全くご心配はありません。
一般的に、フッ素が危険と言われるのは、例えば市販のフッ素洗口液を誤って飲んでしまった時のことを大げさに言ってると思います。市販のフッ素洗口液の濃度は低いため、もし飲んで中毒を起こすとしたら、ボトル1本の200cc以上を飲まないといけません。実際にそんなことは考えにくいです。

使った方が良いです。歯科医院では、子供さんに高濃度のフッ素を塗って、ご自宅では比較的低濃度のフッ素入りの歯磨き粉で歯磨きしますと、より効果的に子供さんを虫歯から守ることができます。食後や、寝る前が特に効果的です。

した方が良いです。歯科医院で高濃度フッ素塗布を行って、ご自宅でフッ素洗口を行えばより効果的です。レノビーゴなどのフッ素スプレーも効果がありますのでおすすめです。

子供さんの虫歯ができやすい場所の第1位は、歯の噛み合わせの面の溝です。
第2位は歯と歯の間です。
その第1位の場所の噛み合わせの面の溝を、あらかじめ樹脂で埋めるのがシーラントと言います。

▲溝の白く見える部分がシーラント

シーラントをすると、物理的に溝が消失しますので、溝に食べかすがたまりにくくなり、溝の虫歯の発生を抑えてくれます。
また、当院のシーラントにはフッ素も含んでいますので、更に虫歯予防効果が高いです。
シーラントは歯に全く害がないので、是非是非されてくださいね!
ただ、シーラントの効果は、永久的ではなく、1〜2年程度で取れることもありますので、その都度確実にしてあげることも大事です。
当院は、子供さんの虫歯予防に大変力を入れており、シーラント治療をたくさんの子供さんに行っています。
その結果、虫歯になる確率を大幅に下げることに成功しています。
子供さんに虫歯ができてしまった場合、当然削って治療することが多いのですが、削らなくて良い場合とか、子供さんが号泣して削れない場合に、虫歯の進行止めを塗ることがよくあります。それぞれご説明します。
1)虫歯を削らなくて良い場合
虫歯は大きさによって分類されてます。C1〜C4まで(下記の図のように)

初期の一番小さい虫歯をC1と言います。また、虫歯になりそうな歯はCO(シーオー)と言います。

▲CO(シーオー)という、虫歯になりそうな歯
C1やCOのような小さい虫歯は、無理に削らなくても進行止めの薬を塗っておけば、高い確率で虫歯の進行が抑えられます。
ただ、100%進行を抑えることができる訳ではない為、定期的な検診が必要にはなります(定期検診では、虫歯のチェックとフッ素塗布、歯磨き指導などをします)。
2)子供さんが号泣したり、怖がって削れない場合

子供さんの年令が低かったり、すごく怖がりだったり、号泣して治療できない場合があります。
そういう時は、治療の練習をして徐々に慣らしていって、慣れてから治療に入るのですが、進行止めを塗る場合もよくあります。進行止めは効果が高いからです。
もちろん、100%進行を抑えることができる訳ではない為、定期的な検診が必要にはなります(定期検診では、虫歯のチェックとフッ素塗布、歯磨き指導などをします)。

当院では、サホライドと言う名前の進行止めを使っています。成分はフッ化ジアミン銀と言って、要するに、フッ素と銀です。
メリットは、
@削らなくて良い
A治療がすぐ終わる
B治療費が安い
C効果が比較的高い
などです。
虫歯の進行の抑制効果

▲乳歯のエナメル質から象牙質への虫歯の進行の抑制率
デメリットは、
@塗った部分が黒くなる
A100%虫歯の進行を抑えるわけではない
などです。

▲サホライドを塗って黒くなった様子
当院は、子供さんの虫歯予防に大変力を入れており、サホライドやシーラント治療などをたくさんの子供さんに行っています。
その結果、虫歯になる確率を大幅に下げることに成功しています。

虫歯の治療ももちろん大事ですけど、最も大事なのは虫歯にならない事、つまり虫歯予防です。
その為には、ご自宅での歯磨きがすごく重要になります。
当院では、子供さんやお母さんに効果的でわかりやすい歯磨き指導もしますし、お母さんには、仕上げ磨きも詳しくご説明します。
仕上げ磨きとは、本来は子供さんが歯磨きをした後で、お母さんが仕上げに歯磨きをすることです。
ただ、子供さんが自分で歯磨きができるようになるのは3才からなので、それまでは、仕上げ磨きというよりは、歯磨きは全部お母さんがすることになります。
ここでは、以下についてご説明します。
1)仕上げ歯磨きの方法は?
2)仕上げ磨きはいつまでするの?
子供さんが6〜8か月くらいで、歯が生え始めたら、歯磨きを始めてください。
まずは、慣れることが大事なので、習慣づけることを目標にしてください。
嫌がられるようでしたら、ガーゼで拭いたりしてください。

子供さんが1才未満の場合は、抱っこして行ってください。
1才から3才は、膝の上に乗せて行ってください。
お母さんが口の中をみやすいですし、歯磨きしやすいです。
子供さんが立ち上がった状態をキープできるようになったら、子供さんが立ったままの姿勢で、お母さんが子供さんの後ろに回って、子供さんの頭を、お母さんのお腹や腕で固定して歯磨きしてあげてください。
そうすることで、歯磨き剤を飲み込みにくくなります。
大人の歯磨きと基本的には似てて、原則はスクラッビング法というやり方です。
歯ブラシの持ち方はペングリップと言って、鉛筆を持つように握ります。


歯ブラシを歯に直角に当てます。
そして、比較的軽い力で、小刻み(5〜10mm範囲)に歯ブラシを動かします。これが基本です。
裏面もなるべく直角に当てて1本ずつ小刻みに磨きます。
歯の表面は以下の図のようにやりやすいです。

裏面もなるべく直角に当てて1本ずつ小刻みに磨きます。

前歯は、表側は歯ブラシを直角に当てて、小刻みに動かせば良いのですが、裏側は歯ブラシを縦にして書き出すように磨きます。

また、上の前歯には上唇小帯(じょうしんしょうたい)と言うヒダがありますので、そこは必ず指でよけてして下さい。

奥歯も基本的に、歯の表面・裏面とも歯ブラシを直角に当てて小刻みに動かします。
ただ、噛み合わせの面は歯ブラシを縦にして、掻き出す(かきだす)ように磨きます。

(サンスター様出典)
歯と歯の間は大変虫歯になりやすい場所です。普通の歯ブラシでは汚れを落とすことは難しいです。
そこで、ご面倒と思われるかもしれませんが、歯と歯の間は糸ようじ(デンタルフロス)を使って下さい。


注意 年齢別に特に気を付けてみがく場所
1才くらい

上の前歯の、歯と歯の間、歯のつけ根をていねいに!
1〜3才くらい

特にかみ合わせの部分をていねいに!
4〜5才くらい

奥歯の歯と歯の間をていねいに!
仕上げ磨きはいつまですれば良いのか、迷われるお母さんも多いと思います。
仕上げ磨きは子供さんの健康を守るために絶対必要なことなので、基本的には長くしてあげた方が良いのは良いです。
個人差はありますが、目安としては、10才までしてあげるのが良いでしょう。
10才過ぎると、子供さんご自身でもできるようになります。
ご心配なお母さんは、できたら第2大臼歯が生える12才までしてあげて下さい。
それにこしたことはありません。

▲第2大臼歯まで生えた様子

仕上げ磨きを子供さんが嫌がるとやりにくいですし、何より虫歯ができてしまったら嫌ですよね!
子供に嫌がられない仕上げ磨きの注意点をご説明します。
@歯磨き中に、何か楽しい事とかを話しかける

A短い時間ですばやくする
B仕上げ磨きが終わったら、「良く頑張ったね!」とか褒める

C歯ブラシの磨き方が強かったり、歯ぐきをこすったりして痛い思いをさせないように、気を付ける
D子供さんが好きなキャラクターの歯ブラシや、好きな味の歯磨き粉を使って楽しくする

E歯磨きは、食後や寝る前がベストですが、もし子供さんの機嫌が悪い時があれば、その時は避ける
F子供さんとお母さんがお互いに磨き合いっこをする

子供さんの歯や歯磨きのことで
お困りの方はご相談ください。



特に下の前歯の永久歯は、乳歯の後ろから生えてきやすいです。
理由は単純です。本当は、永久歯は乳歯の真下から生えてきたいのですが、乳歯より永久歯の方が大きい為に、生えるスペースがなくて、仕方なく乳歯の裏から生えてくるのです。

この場合は、お子様のお口が小さいことが原因です。
このまま放っておくと、永久歯の前歯がガタガタ(乱ぐい歯)になってしまいます。
単純に、歯科医院で乳歯を早めに抜いただけでは、全く解決しません。

▲永久歯の前歯がガタガタ
(乱ぐい歯)になった様子

お口が小さい原因を特定して、それに対するアプローチ(治療)を行います。
年令が低いうち(6〜9才くらい)でないとできない治療が多いので、早く対処することが必要です。

この場合に治療を始めるべきかどうかの、判断基準をご説明します。日本矯正歯科学会によりますと、
乳歯の時に反対咬合で、永久歯になって自然に治る確率は6%、
永久歯に生え変わっても反対咬合の確率は94%ということです。
また、遺伝による場合は自然には治りません。
つまり、反対咬合はまずは治療した方が良いのです。
治療の開始時期は、できたら3才からが理想です。遅くても7才までにした方が良いです。

▲乳歯と乳歯の間にすき間がない様子
乳歯にすき間が無い場合は残念ながら、永久歯が生えてきた時に重なって生えてしまう乱ぐい歯(ガタガタ歯)になってしまいます。
なぜなら、理由は簡単です。乳歯より永久歯の方が大きいために、アゴの骨の中に永久歯が並びきれなくて重なってしまうからです。
乳歯は空隙歯列弓といって、すき間があいて生えてるのが良いのです。


上図のように、乳歯の歯と歯の間がすいていると、永久歯が重ならずに生えて来れます。


原因
遺伝的なもの
● 下アゴの成長が足りない
→ 下アゴが後ろに下がる
● 上アゴの成長が大きい
→ 上アゴが前に成長し過ぎて上アゴの前歯が伸びる
● 奥歯の高さが低くくて、噛み合わせが低くなる
● 遺伝的に前歯が過剰に伸びてる
後天的なもの
● 乳歯の奥歯が虫歯などで抜けてそのままにしてると、噛み合わせが低くなる
● 乳歯の奥歯が虫歯などで抜けた場合に、残りの奥歯に強い負担がかかり、奥歯が沈み込んだり、十分に伸び切らなかった場合
● 下くちびるを噛んだり、吸ったりすると、下アゴが後ろに下がり、上アゴの前歯が伸びてくる
● 頬杖(ほおづえ)をついた場合、下アゴが下がることがある
●下アゴを前に移動させる装置を使う



●乳歯の虫歯を確実に治療し、噛み合わせを確保する

▲優しい歯科医師が治療します
●下くちびるを噛んだり、吸ったり、頬杖をついたりするクセなどを治す
乳歯が早く抜けてしまった場合にそのまま放置してしまうと、その後ろの永久歯が前に移動してしまい、歯並びが大変悪くなってしまいます。
そんな時に、クラウンループ(バンドループ、保隙装置)というものを入れて、永久歯が移動することを防ぎます。






乳歯がなかなか抜けないということはありますよね!
この場合、色んなケースが考えられます。年令別にわかりやすくご説明しますね!
この年齢では、普通、前歯の乳歯が抜ける時期です。この年齢で抜けにくいのは主に以下が原因です。
下の前歯の乳歯の裏から
永久歯が生えてきてるのに抜けない!


▲乳歯の後ろから永久歯が生えてるのに、
乳歯が抜けない一番多いパターン
この場合の理由は単純です。
本当は、永久歯は乳歯の真下から生えてきたいのですが、乳歯より永久歯の方が大きい為に、生えるスペースがなくて、仕方なく乳歯の裏から生えてくるのです。

この場合は、お子様のお口が小さいことが原因です。
このまま放っておくと、永久歯の前歯がガタガタ(乱ぐい歯)になってしまいます。
単純に、歯科医院で乳歯を早めに抜いただけでは、全く解決しません。

▲永久歯の前歯がガタガタ
(乱ぐい歯)になった様子

お口が小さい原因を特定して、それに対するアプローチ(治療)を行います。
年令が低いうち(6〜9才くらい)でないとできない治療が多いので、早く対処することが必要です。
この年令では、乳歯がグラグラして抜けそうなのに抜けない場合と、本当に抜ける気配が無い場合があります。



乳歯はなぜ抜けるかというと、永久歯が下から押してくることによって、乳歯の根っこが溶けてしまう(吸収)ことにより抜けます。

▲永久歯が乳歯を押して、
乳歯の根っこが溶けてる様子
この年令の場合の
乳歯が抜けにくい場合をご説明します。
一番多い理由は、永久歯が乳歯の真下にないことです。
乳歯の真下にあれば、スムーズに乳歯を押して抜けるのですが、真下になくてずれてると、中途半端な状態で中々抜けにくいのです。

▲乳歯がグラグラして抜けそうなのに、
抜けにくい様子

何もしなくても、時間が経てば自然に抜けることも多いです。ただ、気をつけないといけないことが2つあります。
1)乳歯と永久歯の間のすき間に汚れがたまり、永久歯が虫歯の状態で生えてしまう。
→ 絶対虫歯にさせない為には、かなり丁寧な歯磨きが必要です。歯科医院で歯磨きの仕方を教えてもらうか、心配であれば、抜いてもらう。(基本的に早めに抜いてもほとんどの場合、問題はありません)
2)乳歯を早く抜くことによって、永久歯の位置が良くなる場合
→ 永久歯の位置が悪い位置に生えると、あとで矯正をするにしても、その分手間がかかってしまうので、矯正歯科医院で診てもらって下さい。
この年令で抜けないのは、明らかに遅いです。歯科医院で診てもらって下さい。
原因はいくつかあります。

▲矢印のところに永久歯が生まれつき無い様子

先天性の欠如歯の場合は、乳歯が長く残ります。
20才くらいまで残ることが多いです。
ただ、いずれは抜けます。
抜けてしまったら、そこをどうするかは、方法が3つあります。

1番目は、ブリッジと言って抜けた部分の両サイドを削って橋渡しのように3本つながったかぶせ物をする場合です。

2番目は、矯正治療をして抜けたすき間を埋める方法です。
ただこの場合は、上下のアゴのどちらかだけをすると、噛み合わせがおかしくなることもあるので、慎重にします。

3番目は、インプラントと言って、抜けた部分に人工の歯を埋め込む方法です。
費用はかかりますが、治療法としてはかなり良い方法です。

▲この図の様に、骨の中で、
乳歯が永久歯の真下にあるのが理想
骨の中で、乳歯が永久歯の真下にあるのが理想ですが、永久歯の位置が大きくずれている場合は、乳歯を抜いて、骨の中から永久歯を引っ張り出してこないといけません。

▲位置がずれた永久歯を引っ張り出してる様子
●グラグラの乳歯を自分で抜く場合の方法

完全にグラグラの場合は、お子様ご自身やお母さんが抜くことも可能です。
その場合は、ベロで押すくらいにしてください。
無理やり指でつまんで抜くのは避けて下さい。
乳歯の根っこがキレイに溶けてる場合は、ベロで押すことを繰り返すと抜けます。
注意点
無理に抜くと、乳歯の根っこが骨の中に残ることがあります。
そうなると、永久歯が生えにくくなったり、悪い位置に生えたりしますので、できたら歯科医院で診てもらってくださいね。
「乳歯が抜けたのに大人の歯が生えて来ない」とか、「いつまでも乳歯が残ってて生えて来ない」とか色んな心配があると思います。
そんなご心配についてわかりやすく説明しますね。
永久歯が生えてこない理由は
大きく6つあります
上の前歯は生えるのが遅れることがよくあります。普通は、6〜7才で生えてきます。
それが、8才過ぎても生えない場合があります。
理由は、
1)歯ぐきが分厚すぎて、生えてこれない
2)乳歯が早期(3〜4才くらい)で、抜けてしまって、永久歯の上に骨がのっかってる
3)余分な歯(過剰歯)が邪魔をしている
4)永久歯が生えるスペースが無くて生えてこれない
5)永久歯が骨の中に埋もれてしまって(埋伏歯)生えてこれない
6)生まれつき歯が無い(先天性欠如)
などです。
対処法をご説明します。

この症状は、上の前歯によくあります。
この理由により、上の前歯は生えるのが遅れることがよくあるのです。
普通は、6〜7才で生えてきますが、8才過ぎても生えない場合があります。
対処法は、歯ぐきをレーザーなどで切って取り、永久歯の頭を出してやります。そうすると、一気にスムーズに生えてきます。
この処置は痛くなく麻酔をして、麻酔が効いたらもちろん全く痛みはないので安心です。

乳歯がかなり早期(3〜4才)に抜けてしまうと、乳歯の下に控えてる永久歯の上に、骨ができてしまうことがあります。
そうなると、永久歯は、骨を突き破ることができない為に生えてこれなくなります。
レントゲンで定期的に観察しながら、適切な時期に骨を取ってやる必要があります。

過剰歯とは、本来無いはずの歯のことです。
この過剰歯があるために、永久歯が生えようとしてもひっかかってしまって、生えて来れないのです。
この場合は、麻酔を痛くない様にした上で、歯ぐきを切って過剰歯を抜かないといけません。
多くの場合で、抜いただけでスムーズに永久歯が生えてきます。
もし、生えた結果、永久歯の位置が悪かった場合は、矯正治療すれば治ります。

この場合の原因は2つあります。
1つ目は、乳歯が早く抜けてしまって、その後ろの歯が前に移動してしまって、本来生えるべき場所に生えて来れなくなった場合です。
この場合の対処法は、矯正治療をして、永久歯が生えるスペースを作ってやる必要があります。
2つ目は、お口(アゴ)が小さくて、永久歯が生えるスペースが無い場合です。
この場合は、お口が小さいという根本原因を治す矯正治療が必要になります。

この場合は、永久歯が生える前に骨の中でゆがんでしまった時に起こります。
ゆがむ理由で一番多いのは、歯やアゴをぶつけた場合です。ぶつけた刺激で歯がゆがんでしまうのです。
もし、このまま放っておくとどうなるかと言うと、ずっと生えて来れなかったり、すごく変な位置で生えてきたり、あるいは最も悪いのは、現在生えている永久歯の根っこを溶かしてしまうことです。
なので、この場合は必ず、歯科医院で治療してください。
治療法としては、痛くないように麻酔をしてから、歯ぐきを切開して、その歯にアプローチして、ゴムやバネで引っ張り出すという矯正治療をします。

生まれつき永久歯が無いことがあります。これを先天性欠如と言います。

▲矢印のところに永久歯が生まれつき無い様子
この場合は、永久歯が無い為に、乳歯を押すことができず、乳歯が残ってしまいます。
乳歯は、下から永久歯が押すことによって、その根っこが溶けて抜けるのです。
いつまで経っても乳歯が抜けない場合は、まずは先天性欠如の可能性が非常に高いです。

永久歯が無い場合は、乳歯が長期間残る可能性が高いです。
20才代まで残ることが多いです。
ですので、乳歯を永久歯代わりに長く使う事になります。
そして、乳歯がついに抜けた時は、すでに成人してるので、その部分はインプラントかブリッジで治療するのが普通です。


もし、乳歯が18才以下で抜けてしまった場合は、矯正治療をして、抜けたスペースを埋めることも有り得ます。
ただ、そうすると前歯の位置が変わってしまったり、上下の噛み合わせを揃えるために、反対側の歯を抜いたりしないといけない時もあるので、矯正をするべきかどうかは、子供の矯正が得意な歯科医院で診断してもらってください。

▲矯正治療


「乳歯の神経を抜かないといけない」と言われたら、びっくりしますよね!
本当に抜く必要があるのかとか、永久歯に影響はないのかとか、抜いた後どうするのか、ご心配だと思います。
ここでは、乳歯の神経治療について詳しくご説明しますね!
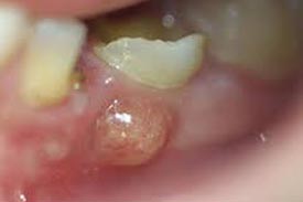
乳歯の神経を抜かないといけない場合は、ほとんどが虫歯が大きい場合です。
乳歯は永久歯と違って、虫歯になりやすい上に、進行も早いので、短期間で虫歯が神経に達してしまうからです。
理由は、乳歯のエナメル質は柔らかくて、かつ厚みが薄いからです。

歯の表面はエナメル質という成分からできていますが、乳歯はこのエナメル質が薄いんです。
虫歯はエナメル質からできて進んで行きます。
その時に、エナメル質が薄いと当然、進行が早いわけです。
また、乳歯のエナメル質は、永久歯のエナメル質よりも柔らかいので進行も早くなります。
歯はそもそも、生えてから、唾液の中のカルシウムと引っ付いて硬くなりますが、生えたばかりの乳歯はカルシウムと引っ付く期間が短いため柔らかいのです。
注意! 乳歯の神経は、永久歯ほど感覚が発達してない為、痛みを感じにくいので、歯科医院で乳歯の神経を取らないといけないと言われても、ピンと来ないと思います。

もちろん、乳歯、永久歯にかかわらず歯の神経は取らない方が良いに決まってるのですが、神経まで進んだ虫歯(C3以上)を放っておくと、痛む場合もありますし、痛まなかったとしても、神経が腐ってしまって根っこの先が膿んできてしまいます。
神経を取ること自体は永久歯に全く関係ありませんが、膿んでくると、永久歯に悪い影響がでます。(黒ずんで生えたり、生える位置がずれる)

ですので、虫歯が神経に届いてしまったら神経を取らないといけないことが多いのです。
痛くない様に麻酔をします。
↓
その後、虫歯をキレイに削除します。
↓
そして、神経も器具で除去します。
↓
除去した後は、そこにばい菌が入らない様に、薬を詰めます。
↓
そして、最後に、樹脂を詰めるか、被せるかして終わりです。
こういう一連とした治療をちゃんと行うと、乳歯の神経を取るデメリットはかなり解消され、永久歯にも良い影響がでます。

▲虫歯を取って、神経を取って、薬を詰める様子

▲薬を詰めた後の写真(乳歯の奥歯)

▲薬を詰めた後の写真(乳歯の前歯)
単純に考えると、乳歯の神経を抜いたら、永久歯の神経もダメージを受けてしまうのではないかと思いますよね!
でも、全くそんなことは無いんです。
理由は、すごく簡単で、乳歯の神経と、永久歯の神経はつながってないからです!!

上の写真を見てください。
骨の中で歯の頭だけができてるのが、生える準備をしてる永久歯です。乳歯とは、全くつながっていません!!
注意! 永久歯と乳歯の神経はつながってないのですが、乳歯の神経が死んで腐ってしまって膿んでくると、永久歯に悪い影響が出ます!

▲乳歯の神経が腐って膿んでる様子
この場合、どんな影響が出るかというと、膿のせいで永久歯が黒ずんで生えてしまったり、膿をよけて永久歯が生えようとするので、永久歯の生える位置がずれてしまって、歯並びが悪くなる可能性が高くなります。

そうならない為にも、虫歯が神経まで行ってしまった段階で、適切に乳歯の神経を抜く治療をして、その後ばい菌が入らないような処置をしておくことがすごく重要なんです。
神経を抜いた後は、そこに神経の代わりになる薬を詰めます。

▲虫歯を取って、神経を取って、薬を詰める様子

▲薬を詰めた後の写真(乳歯の奥歯)

▲薬を詰めた後の写真(乳歯の前歯)
薬は何の為に詰めるかというと、神経を抜いた後の空洞にばい菌が入らない様にする為です。(ばい菌が入ってしまうと、そこで感染して炎症を起こし、根っこの先が膿んでしまって、その下の永久歯に悪い影響を与えてしまいます。)
薬を詰めた後は、虫歯を削った部分に樹脂を詰めるか、すっぽりとかぶせ物をすることになります。



子供さんが転んだり、何かにぶつかったりして、歯が欠けたり、折れたり、グラグラになったりしたらご心配ですよね!
子供さんは活動が活発なので、ころんだりして歯をぶつけて折ったり、欠けたりすることがあります。そんな時は至急の手当てが必要になります!

そんな時にどうしたらいいのか?わかりやすくご説明しますね。
●欠けた程度が軽い場合
問題にならないことも多いです。ただ、ぶつけたことで歯の神経が死んでしまうことがあります。
その場合は、1か月くらい経ってから歯が黒ずんだり、グレーになってくるのでわかります。

▲ぶつけた後で、乳歯がグレーになった様子
そうなると、神経が死んでしまってます。放っておくと、神経が腐ってしまい、下に永久歯が控えてる場合だと、永久歯が変色したり虫歯になったりしますので、歯科医院で死んだ神経を除去する必要があります。
●大きく欠けた場合

大きく欠けた場合は、歯の神経まで達していることが考えられます。
もし、神経まで達していたら、ケースバイケースですが、神経を保護する薬を塗ってから樹脂で詰めるか、神経に感染がみられたら、神経を除去する治療をすることになります。
その後は、歯の形を修復する治療を行って終わりです。
神経まで達してない場合は、虫歯を詰めるのと同じ材料で、詰めてしまえば大丈夫のことが多いです。

▲欠けてますが、
レントゲンで神経まで折れてないことが
確認されたケース
ただし、ぶつけた刺激で神経が1か月後くらいに死んでしまって、歯が黒ずんでくることがあります。
そうなると、神経を除去しないといけないです。

▲詰めた後で、神経が死んで乳歯が黒ずんだ様子
折れた位置で治療法が違ってきます。
●歯の頭の部分(歯冠部)で折れた場合


この場合は、折れ目が歯の神経まで届いてますので、乳歯の神経を除去します。
その後、神経の代わりになる薬を詰めた後に、かぶせたりして歯の形を修復して元通りに戻します。
●乳歯の根っこの部分が折れた場合
根っこの部分が折れてるかどうかは、触って診る(触診)でもある程度はわかりますが、正確にはレントゲンを撮ります。

▲乳歯の根っこに、水平に割れ目が見られる様子
根っこが折れてしまった場合は、折れた位置が根っこの先の方だと、残念ながらその乳歯は抜かないといけません。
折れた乳歯の神経が腐ってくるからです。
折れた位置が、根っこの浅い位置ですと、折れた歯の破片を取り除いた後に、乳歯の神経を除去して、神経の代わりになる薬を詰めてから、かぶせる治療になります。
また、受けた衝撃で永久歯にも影響が出る可能性もあります。
ただ、その場合はすぐにはわからなくて、実際に永久歯が生える時期になった時に、生えて来ないとか、ゆがんで生えるとか、黒ずんで生えたりします。
●グラグラの程度が軽い場合
何もせずに様子を見ても大丈夫な事が多いです。ただ、歯科医院で歯が折れてないかどうかを、レントゲンで確認してもらう必要はあります。
●グラグラの程度がある程度大きい場合
グラグラの歯を固定する必要があります。例えて言うなら、骨折した骨にギブスをするようなものです。


上図のような感じで固定します。固定すると、程度によりますが、2週間から1か月半くらいで歯のグラグラは収まります。
その後、歯の神経がもし死んでいたら、歯の色が黒ずんだり、グレーになってきますので、その時は、神経を除去する治療が必要になります。
この場合は、抜けた歯を元に戻す(再植)ことができます。ただ、その為にやって頂きたいことが3つあります。
●歯の根っこを乾燥させないこと
歯を牛乳につけるか、水につけるか、学校でしたら「歯の保存液」とか「生理食塩水」を置いているのでそれにつけるか、ラップにくるむか、ご本人の口の中に入れた状態(可能なら元々歯があった場所へ差し込む)で歯科医院に行って下さい。

歯の根っこの表面には歯根膜という組織があり、これが歯と骨を引っ付けてくれます。この組織を乾燥させないことが大事です!
●歯の根っこを傷つけないこと
歯根膜が傷つかないように、根っこを手で持ったり、強く洗わないで下さい。
地面に落ちた場合も歯科医院で慎重に洗いますので、ご自身では洗わないで下さい。
ティッシュペーパーでくるむのも傷つけてしまいますので避けて下さい。

●抜けてから、できたら30分程度以内にすること
歯根膜が乾燥して、死んでしまうと、歯と骨が引っ付かなくなってしまいますので、早めに歯科医院に持って来てください。

▲歯の保存液が一番優秀ですが、なるべく早く対処してくださいね。
もし、抜けた歯が乳歯で、かつ引っ付かなかった場合は、問題が3つあります。
1)あとから生えてくる永久歯の位置が狂ってしまう。
2)永久歯が生えるまでの間、見た目が悪くなり、子供さんの精神面に良くない。
3)噛む力が十分に発揮できなくなり、成長にも影響が出ることがある。
などの事が起こりますので、万が一、ぶつけて乳歯が抜けた時は留意されてくださいね。


この場合は、歯が折れてないかどうかをレントゲン等で確認します。
そして、折れてなくて、単に乳歯の位置がずれているだけの場合は、歯を元の位置に戻します(整復)。
そして、歯を固定します。例えるなら骨折した時にギブスをするような感じです。


固定して、程度によりますが、2週間から1か月半くらいで、歯は完全に引っ付くことが多いです。


子供さんの歯(乳歯)がグラグラになったのだけど、放っておいて良いのか、自分で抜いた方が良いのか、歯医者に行った方が良いのか、迷いますよね!
ここでは、グラグラの状況別にわかりやすくご説明しますね。
@放っておいて良い場合

上の写真のように、乳歯がグラグラになってる場合で、下から永久歯が見えない場合は、乳歯の真下に永久歯があり、正常に生え変わってますので、放っておいても自然に抜けます。
もし、グラグラが気になるようでしたら、子供さん自身がベロで乳歯をさわったり、清潔な指で軽く押したりしてると、さらにグラグラになり、指でつまんだら抜けるようになります。
また、グラグラのせいで、ご飯が食べにくいとか、痛みがあれば、乳歯の抜歯が得意な歯科医院に行って、子供さんに痛みを感じさせないようにそっと抜いてもらうのが良いでしょう。
A歯医者で抜いてもらった方が良い場合


上の写真のように、抜けそうな乳歯の後ろから永久歯が生えてくることがあります。
なぜかと言うと、乳歯より永久歯の方が大きいので、真下から生えて来れずに仕方なく後ろから生えて来るのです。
もし、子供さんのお口(アゴ)がもっと大きかったら、乳歯の真下から生えてくることができるので、こんな事にはならないのです。
この場合は、ただ単に乳歯を抜けば良いという事ではなくて、お口が小さい原因を確実に歯科医院で診断してもらって、適切な対処をした方が良いです。
お口が小さいまま放っておくと、永久歯が生えた時に、がたがた歯(乱ぐい歯)になってしまうからです。(子供の矯正に詳しい歯科医院で診てもらってください。)

▲永久歯の前歯がガタガタ
(乱ぐい歯)になった様子

お口が小さい原因を特定して、それに対するアプローチ(治療)を行います。
年令が低いうち(6〜9才くらい)でないとできない治療が多いので、早く対処することが必要です。
@放っておいて良い場合

上の写真のように、乳歯がグラグラになってる場合で、乳歯の真下から永久歯が見えてる場合は、正常に生え変わってますので、放っておいても自然に抜けます。
もし、グラグラが気になるようでしたら、子供さん自身がベロで乳歯をさわったり、清潔な指で軽く押したりしてると、さらにグラグラになり、指でつまんだら抜けるようになります。
また、グラグラのせいで、ご飯が食べにくいとか、痛みがあれば、乳歯の抜歯が得意な歯科医院に行って、子供さんに痛みを感じさせないようにそっと抜いてもらうのが良いでしょう。
A歯医者で診てもらった方が良い場合

上の写真のように、永久歯が乳歯の外側から生えてくることがあります。
これはなぜかと言うと、永久歯が乳歯の真下になくてずれてるからです。
真下にない理由は、奥歯の場合は乳歯の根っこが邪魔してる場合が多いです。
本来、下の写真のように、乳歯は永久歯が下から押すことによって、根っこが溶けて抜けるのです。

永久歯が外側から生えるのは、乳歯の根っこの一部がしっかりしていて、溶かしにくい為に、仕方なく外側にずれてしまってます。
この場合は、永久歯の位置が悪くなる可能性がありますので、子供の矯正に詳しい歯科医院で診断してもらって、必要なら抜いた方が良いと言われますし、放っておいても良いと言われるかもしれません。

1)歯科医院で放っておいても良いと診断された時
自然に抜けるのを待ちましょう。ただ、気をつけないといけないことがあります。
●乳歯と永久歯の間のすき間に汚れがたまり、永久歯が虫歯の状態で生えてしまう。
→ 絶対虫歯にさせない為には、かなり丁寧な歯磨きが必要です。歯科医院で歯磨きの仕方を教えてもらうか、心配であれば、抜いてもらう。(基本的に早めに抜いてもほとんどの場合、問題はありません)
2)歯科医院で、乳歯を早く抜くことによって、永久歯の位置が良くなると診断された時
→ 永久歯の位置が悪い位置に生えると、あとで矯正をするにしても、その分手間がかかってしまうので、矯正が得意な歯科医院で診てもらって、抜歯をしてもらって下さい。
●自分で乳歯を抜く場合
子供さんご自身で歯を抜くこともできます。
グラグラになった乳歯をベロで押したり、清潔な指でさわったりしてると、グラグラが進んでいって、摘まんでも取れるようになります。

また、昔からよく言いますが、グラグラの乳歯に糸を巻いて引っ張って抜くという事もできます。

ただ、これらは実際には、まず歯科医院に行って、「自然に抜けるのを待ちましょう」と診断された時に行って下さいね!
注意することは、無理に抜きますと、乳歯の根っこが骨の中に残ってしまって返って抜きにくくなることがあるので、軽い力で慎重にしてくださいね。
また、抜く際に、歯ぐきを傷つけたり、ばい菌が入ったりすることもありますので、指を清潔にして、乳歯の周りにも歯垢(しこう)が付いてない状態でしてくださいね。
抜いた後に、血が出るようでしたら、ガーゼやティッシュを丸めて、傷口にしっかり当てがって、ギュッと噛んでもらうと圧迫止血になり、10分程度で血は止まります。

お子様が学校検診で、要注意乳歯と言われたことがあるかと思います。
いったい、要注意乳歯ってわかりにくいですよね!
要注意乳歯についてわかりやすくご説明しますね。
要注意乳歯というのは、虫歯になりそうな乳歯という意味では無いんです!
虫歯になりそうな歯は、要観察歯と言います。
要注意乳歯は、永久歯が生えて来てるのに、抜けそうで抜けない乳歯のことです。
例えば、下のような場合です。



こういう場合は、どうするかと言うと、色んなパターンがあります。
乳歯を早く抜いたほうがいい場合もありますし、抜く必要が無い場合もあります。
抜く必要があるのか無いのか、また抜かない方が良いのかは専門的な判断が必要になります。特に、乳歯の下の永久歯の状態によって変わってきます。
そんな中で一番、問題なのは、永久歯の前歯が乳歯の前歯の後ろから生えてる場合です。
なぜこんな状態になったかというと、理由は単純です。
本当は、永久歯は乳歯の真下から生えてきたいのですが、 乳歯より永久歯の方が大きい為に、生えるスペースがなくて、仕方なく乳歯の裏から生えてくるのです。
この場合は、お子様のお口が小さいことが原因です。
このまま放っておくと、永久歯の前歯がガタガタ(乱ぐい歯)になってしまいます。単純に、歯科医院で乳歯を早めに抜いただけでは、全く解決しません。
お口を大きくする治療が必要なことも多いですので、専門の歯科医院でご相談されて下さい。

▲永久歯の前歯がガタガタ
(乱ぐい歯)になった様子

お口が小さい原因を特定して、それに対するアプローチ(治療)を行います。
一般的には、低年齢のうちにお口(アゴ)を大きくする治療法を行います。
年令が低いうち(6〜9才くらい)でないとできない治療が多いので、早く対処することが必要です。


乳歯が生えてきたけど、順番は大丈夫?と心配になるお母さんは多いです。
また、乳歯が生えてこないという心配もあります。
まず、乳歯が生える順番をご説明します。
下の前歯が2本生えてくる

上の前歯が2本生えてくる

さらに上下の前歯が2本ずつ生えてくる

最初の奥歯が生えてくる

乳歯の糸切り歯が生えてくる

一番奥の乳歯が生えてきます。
20本生えて完成です。

以上が乳歯の普通の生え方です。
乳歯は前から順番に
A・B・C・D・E
という名前がついています。

わかりやすい下の図をご覧ください。
数字の順番に生えてきます。


乳歯の生える順番(日本小児歯科学会)
お母さんが
心配されること

●生える時期が遅い
→ 半年くらいの差なら全く心配はないです。
ただ、気を付けるのは以下の場合です。
1)乳歯萌出遅延(にゅうしほうしゅつちえん)
2才過ぎても歯が全く生えない場合もあります。原因は、早産とか、低体重児の場合です。この場合は、3才くらいで生えることが多いです。
2)癒合歯(ゆごうし)
乳歯が2本ひっついて生えてくることがあります。これを癒合歯と言います。癒合歯の多くは様子をみて、治療する必要はありませんが、たまに永久歯が生えてくるのを妨げることがありますので、5~6才のころに、歯科医院でレントゲンで確認してもらいましょう。
3)先天性欠如(せんてんせいけつじょ)
生まれつき、乳歯が無い場合があります。1本だけとか、2〜3本無い場合もありますが、基本的には様子をみるしかないです。5〜6才で歯科医院で診てもらって対策を考えます。
●ど真ん中の前歯より先に、隣の歯が生えてきた
→ 上下の前歯8本の生える順番は全くご心配いりません。
●前歯より先に奥歯が生えてきた
→ このケースはまれなので、歯科医院で診てもらった方が良いです。
●2本分が1本のように、くっついた歯が生えた
→ 癒合歯(ゆごうし)としって、まれにあります。基本的には仕方ないので、様子を見るしかありませんが、ご心配な場合は歯科医院でみてもらって下さい。
●乳歯の数が足りない
→ 乳歯の数が足りない場合は、その下に生える永久歯の位置に影響を及ぼすので、永久歯が正しい位置に生えるよう誘導が必要な場合があります。歯科医院に相談されて下さい。
乳歯が抜け始めたけど、この順番で正しいのかとか、中々抜けないとか色んなご心配があると思います。
ここでは、乳歯の抜ける順番をわかりやすくご説明しますね。
結論から先に言います。
乳歯は前から順番に A・B・C・D・E という名前がついています。

上アゴの場合
A→B→D→E→C
下アゴの場合
A→B→C→D→E
| 上アゴの場合 | 下アゴの場合 | |
| A | 7〜8才 | 6〜7才 |
| B | 8〜9才 | 7〜8才 |
| C | 11〜12才 | 9〜11才 |
| D | 9〜11才 | 10〜12才 |
| E | 9〜12才 | 11〜13才 |
下アゴの場合は、前から順番に抜けるのでわかりやすいですが、上アゴはCが抜けるのが通常は一番最後になります。
Cというのは乳歯の糸切り歯です。Cの下から永久歯の糸切り歯が生えてきます。
お口が小さい子供さんの場合、Cが抜けるのが遅い為に、永久歯の糸切り歯が生えるタイミングで他の永久歯が生えてしまっていて、生えるスペースが無いので八重歯になることが多いのです。

▲糸切り歯が生えるのが遅いため、
八重歯になった例
乳歯の抜ける順番ですが、大体6才から8才くらいで前歯が抜けていきます。
9才から13才で奥歯も抜けて永久歯に生え変わるわけですが、抜ける順番はあまり気にされなくて大丈夫です。
基本的に、本来抜ける時期より少々遅れても問題になることは少ないです。
問題になるのは以下のような場合です。


特に下の前歯の永久歯は、乳歯の後ろから生えてきやすいです。理由は単純です。
本当は、永久歯は乳歯の真下から生えてきたいのですが、乳歯より永久歯の方が大きい為に、生えるスペースがなくて、仕方なく乳歯の裏から生えてくるのです。
この場合は、お子様のお口が小さいことが原因です。
このまま放っておくと、永久歯の前歯がガタガタ(乱ぐい歯)になってしまいます。
単純に、歯科医院で乳歯を早めに抜いただけでは、全く解決しません。

▲永久歯の前歯がガタガタ
(乱ぐい歯)になった様子

お口が小さい原因を特定して、それに対するアプローチ(治療)を行います。
年令が低いうち(6〜9才くらい)でないとできない治療が多いので、早く対処することが必要です。
乳歯の下に永久歯がない(先天性欠如歯)可能性があります。歯科医院でレントゲン等で診断してもらってください。

▲矢印のところに永久歯が生まれつき無い様子
一般的には、乳歯が抜けるとほぼ同時に永久歯が生えてきます。乳歯が抜けて3か月以上経っても永久歯が生えて来ない場合は心配ですので、歯科医院で診てもらってください。
例えば、右の乳歯が抜けたのに左の同じ乳歯が全く抜ける気配がないような場合は、下に控えてる永久歯に問題があるかもしれませんので、歯科医院で診てもらってください。

永久歯がなかなか生えてこない、いつ生えるの?生えてきたけど順番は大丈夫?など、
色々ご心配だと思います。
ここでは、永久歯が生える順番と、遅い場合の対処法をご説明します。

まず、6才で、前歯と6歳臼歯と言う奥歯の永久歯が生えてきます。
その後、小臼歯という横の歯が生えてきます。上アゴに限っては、糸切り歯(犬歯)が生えるのが遅いです。(生えるのが遅い為に、生える場所がなくなって八重歯になりやすくなります)
上図が、生える年齢ですが、1年くらいの差はあまり気にしなくて大丈夫です。
1年以上遅い場合は、何らかの原因があるかもなので、歯科医院で診てもらって下さい。
(特に、上の前歯は生えるのが遅れることがよくあります。普通は、6〜7才で生えてきます。
それが、8才過ぎても生えない場合があります。)
永久歯が生えてこない理由は
大きく6つあります
1)歯ぐきが分厚すぎて、生えてこれない
2)乳歯が早期(3〜4才くらい)で、抜けてしまって、永久歯の上に骨がのっかってる
3)余分な歯(過剰歯)が邪魔をしている
4)永久歯が生えるスペースが無くて生えてこれない
5)永久歯が骨の中に埋もれてしまって(埋伏歯)生えてこれない
6)生まれつき歯が無い(先天性欠如)
などです。
対処法をご説明します。

この症状は、上の前歯によくあります。
この理由により、上の前歯は生えるのが遅れることがよくあるのです。
普通は、6〜7才で生えてきますが、8才過ぎても生えない場合があります。
対処法は、歯ぐきをレーザーなどで切って取り、永久歯の頭を出してやります。そうすると、一気にスムーズに生えてきます。
この処置は痛くなく麻酔をして、麻酔が効いたらもちろん全く痛みはないので安心です。

乳歯がかなり早期(3〜4才)に抜けてしまうと、乳歯の下に控えてる永久歯の上に、骨ができてしまうことがあります。
そうなると、永久歯は、骨を突き破ることができない為に生えてこれなくなります。
レントゲンで定期的に観察しながら、適切な時期に骨を取ってやる必要があります。

過剰歯とは、本来無いはずの歯のことです。
この過剰歯があるために、永久歯が生えようとしてもひっかかってしまって、生えて来れないのです。
この場合は、麻酔を痛くない様にした上で、歯ぐきを切って過剰歯を抜かないといけません。
多くの場合で、抜いただけでスムーズに永久歯が生えてきます。
もし、生えた結果、永久歯の位置が悪かった場合は、矯正治療すれば治ります。

この場合の原因は2つあります。
1つ目は、乳歯が早く抜けてしまって、その後ろの歯が前に移動してしまって、本来生えるべき場所に生えて来れなくなった場合です。
この場合の対処法は、矯正治療をして、永久歯が生えるスペースを作ってやる必要があります。
2つ目は、お口(アゴ)が小さくて、永久歯が生えるスペースが無い場合です。
この場合は、お口が小さいという根本原因を治す矯正治療が必要になります。

この場合は、永久歯が生える前に骨の中でゆがんでしまった時に起こります。
ゆがむ理由で一番多いのは、歯やアゴをぶつけた場合です。ぶつけた刺激で歯がゆがんでしまうのです。
もし、このまま放っておくとどうなるかと言うと、ずっと生えて来れなかったり、すごく変な位置で生えてきたり、あるいは最も悪いのは、現在生えている永久歯の根っこを溶かしてしまうことです。
なので、この場合は必ず、歯科医院で治療してください。
治療法としては、痛くないように麻酔をしてから、歯ぐきを切開して、その歯にアプローチして、ゴムやバネで引っ張り出すという矯正治療をします。

生まれつき永久歯が無いことがあります。これを先天性欠如と言います。

▲矢印のところに永久歯が生まれつき無い様子
この場合は、永久歯が無い為に、乳歯を押すことができず、乳歯が残ってしまいます。
乳歯は、下から永久歯が押すことによって、その根っこが溶けて抜けるのです。
いつまで経っても乳歯が抜けない場合は、まずは先天性欠如の可能性が非常に高いです。

永久歯が無い場合は、乳歯が長期間残る可能性が高いです。
20才代まで残ることが多いです。
ですので、乳歯を永久歯代わりに長く使う事になります。
そして、乳歯がついに抜けた時は、すでに成人してるので、その部分はインプラントかブリッジで治療するのが普通です。


もし、乳歯が18才以下で抜けてしまった場合は、矯正治療をして、抜けたスペースを埋めることも有り得ます。
ただ、そうすると前歯の位置が変わってしまったり、上下の噛み合わせを揃えるために、反対側の歯を抜いたりしないといけない時もあるので、矯正をするべきかどうかは、子供の矯正が得意な歯科医院で診断してもらってください。

▲矯正治療




子供さんの歯が黒いと心配になりますよね!
ただ黒いって言っても色んな場合がありますので、わかりやすくご説明しますね!


この場合は、虫歯か単純な着色です!
詳しく歯科医院で診察することによって、初期虫歯なのか、中くらいの虫歯なのか、単純な着色なのかが決まります。
● 初期虫歯の場合・・・削ったりせずにシーラントをしたり、進行止めを塗ったり、フッ素を塗って、定期的に観察することになります。
● 中くらいの虫歯の場合・・・残念ですが削って詰めるという治療になります。


上図の写真のように、大きく黒くなってる場合は完全に虫歯です。
直ちに、治療しないといけません。虫歯を削って詰めるということになります。私どもの医院ではなるべく歯の神経は取らない様に治療をしています。

▲歯全体がグレーぽくて黒い
この場合は、歯の神経が死んでる可能性が非常に高いです。
歯をぶつけたりすると、歯の神経が死んでしまって、1か月くらいで歯全体が黒ずんできます。
死んだ神経を放っておくと、神経が腐ってしまい、炎症が起きてしまいますので、死んだ神経を除去する必要があります。
神経は死んでるので麻酔はいりません。
↓
歯の裏から穴を空けます。
↓
そして、神経を器具で除去します。
↓
除去した後は、そこにばい菌が入らない様に、薬を詰めます。
↓
そして、最後に、樹脂を詰めるか、被せるかして終わりです。
こういう一連とした治療をちゃんと行うと、のちのち歯の長持ちにつながります。

▲薬を詰めた後の写真(乳歯の前歯)

こういう感じで、複数の歯に渡って黒くなってる場合は、以前歯科医院で塗った「虫歯の進行止め」の可能性が非常に高いです。
進行止めの成分には銀が含まれており、銀が沈着して虫歯の進行を防ぐのですが、その銀が黒くなってしまうのです。
対処法としては、基本的には何もする必要はないです。
もし、見た目が気になるなら、黒い部分(虫歯)を削り取って、白い樹脂を詰めれば解決します。
放っておく場合は、虫歯が進行してないかチェックするために、定期的に歯科医院に行ってくださいね。

この場合は、歯の表面に単純に汚れ(ステイン)が沈着してるだけです。
歯科医院で、歯のクリーニングをすれば簡単に取れることが多いです。
虫歯との区別を確実にするためにも、歯科医院に行かれてみてくださいね。


子供さんの歯の表面の一部が白かったり、茶色かったりすると心配ですよね!
(乳歯にも永久歯にも起こります)
これは、エナメル質形成不全と言います!
歯の表面はエナメル質と言いますが、そのエナメル質がちゃんと作られずに、白や茶色に変色してしまっている状態です。
そしてその部分は歯の質が弱くなっていて虫歯になりやすくなります。
世界歯科連盟(FDI)によると、発症率が13%と言われています。
原因と対処法をわかりやすくご説明しますね。

子供さんが胎児の時、つまりお母さんが妊娠してる時に、何らかの全身的な障害が起こった場合です。
例えば、お母さんの病気、栄養的な障害、感染、服用した薬の影響、ホルモンのバランスの異常などで、胎児の歯の形成が阻害されてしまった場合です。
また、早産や低体重出産でも起こると言われています。
この場合は、左右の歯に対称に起こることが多いです。
さらに、遺伝によっても起きるとされていますが、遺伝の確率は非常に低いようです。もし、遺伝で起こった場合は全ての歯に起こります。
@ 乳歯の時に、ぶつけたり何らかの物理的刺激を受けた場合に、その下の永久歯に起こることがあります。

A 乳歯の虫歯のせいで神経が死んで腐ってしまった状態が長く続くと、その乳歯の下の永久歯に起こる事があります。

B 乳歯に起こる場合は、0~2才のエナメル質を作る時期に、発疹性や熱性の病気になったり、栄養障害によりエナメル質の形成がうまくいかなくておこるとも言われています。
@、Aの場合は、一部の永久歯に限局して起こり、左右対称に現れることは少ないです。
ただ、エナメル質形成不全が起こる原因は確実には解明されていないです。

エナメル質形成不全の歯は虫歯になりやすいので、予防がなにより大事になります。

ご自宅での確実な歯磨きと、おやつ、飲み物の取り方に気を付けることと、歯科医院での定期的な観察が重要です。
歯科医院で、毎回フッ素を塗って歯の質を丈夫にしたり、シーラントをして虫歯菌が歯に付きにくくしたり、歯磨き指導を行ったりすることで、虫歯になることを防ぎます。


もし、虫歯になってしまっても初期で発見されれば、虫歯を少し削って詰めるという比較的簡単な治療で終わります。
エナメル質形成不全の程度がきつい場合は、エナメル質の表面がくぼんでしまったり、一部に限局するのではなく、広い範囲に起こってしまい、エナメル質が形成されない時もあります。
見た目的に、歯の色が気になる場合は、その部分を削って詰めたり、ホワイトニングをしたり、程度がきつい場合は、セラミックを被せたりすることもできますが、歯科医と相談の上、慎重に決めて下さい。
また、起きやすい場所は上の前歯と奥歯(6歳臼歯)です。
前歯の場合よりも奥歯の場合の方が歯ブラシが届きにくくて虫歯になりやすいので注意が必要です。
虫歯になる原因をちゃんと知っておくと、当然ですが虫歯になりにくくなります。
虫歯になってから治療するのではなく、ならない様にする為に、分かりやすく説明しますね。
虫歯になる原因は大きく4つあり、簡単に言うと、以下の図の様になります!


歯の表面のエナメル質が丈夫(固い)かどうか、という問題です。
丈夫であれば虫歯になりにくいです。
丈夫にするには、エナメル質が作られる幼少期に、エナメル質をそもそも作るたんぱく質と、エナメル質を固くするのに必要なカルシウム、リンとこれらがうまく働く為のビタミンA,C,Dをしっかり摂取することが大事です。
ただ、他にもエナメル質が固くなるのを妨げる要因はいくつもあり、残念ながら固くならなかった方は虫歯になりやすいです。(しっかり虫歯予防する事が非常に大事です)
参考
●たんぱく質を多く含む食べ物・・・魚、卵、牛乳、豆腐、肉など
●カルシウムを多く含む食べ物・・・牛乳、チーズ、小魚、ひじきなど
●リンを多く含む食べ物・・・牛肉、豚肉、卵、米など
●ビタミンAを多く含む食べ物・・・ほうれん草、人参レバー、卵、豚肉など
●ビタミンCを多く含む食べ物・・・みかんなどの果物、ほうれん草、さつまいも、野菜など
●ビタミンDを多く含む食べ物・・・卵、しいたけ、バター、牛乳など

食べ物によって虫歯のなりやすさは大きく左右されます。特に、糖分の多い食べ物は虫歯になりやすいです。
理由は、虫歯菌の大好物だからです!
特に、お菓子、あめ、ガム、ハイチュウ、ジュースなどの甘い物に糖分(特に砂糖)が多いです。
意外にスポーツドリンク、乳酸菌飲料や、調味料のみりん、ソース、ケチャップ、カレーのルーなどにも糖質が多いので気を付けて下さい。
また、1日にちょこまか何回も食べてると、お口の中が常に酸性になり虫歯になりやすいです。

虫歯菌がいるので虫歯はできる訳です!
その中で最も悪いのはミュータンス菌と言います。
ミュータンス菌が糖分から酸を作って、その酸が歯を溶かして虫歯になるのです。
ミュータンス菌の量は人によって違います。保護者のお口の中に多い場合は子供さんのお口にも多いです。
多い人は、仕方ないので、より丁寧な歯磨き等の虫歯予防が大事になります。
虫歯菌が虫歯を作る訳です。虫歯菌が糖分を分解して酸を出し、その酸が歯を溶かして虫歯をつくるのです。
なので、その酸が歯に作用する時間が長ければ長いほど、虫歯になりやすい訳です。
以下の図をご覧ください。

同じ量を食べたとしても、ちょこまかと頻繁に食べる(だらだら食い)をしていると、お口の中が常に虫歯菌が作る酸に侵されていて、歯が溶けてしまうのです。
上図はpH(ペーハー)と言って酸性の強さを示す度合いがあるのですが、それが5.5を下回ると、歯が溶けてしまいます。だらだら食べていると、1日のうちでpH(ペーハー)が5.5を下回る時間が長くなるので、歯が溶けて虫歯になってしまうのです。
対策としては、お菓子などは時間を決めて一気に食べる、食べたらすぐ磨く、寝る前は必ず磨く、などです。
虫歯になる原因をしっかり理解して頂いてそれに対する対策をすることになります。

● 食後1時間が最も歯が溶けやすい!
● 虫歯になりやすい3か所を特に丁寧に磨く!
@奥歯の溝、A歯と歯ぐきの間、B歯と歯ぐきの間を重点的に磨いてください。
(歯と歯の間は糸ようじを使ってくださいね。)
● 10才くらいまでは、仕上げ磨きをしてあげる

だらだら食べるとお口の中が常に酸性になり、歯が溶けてしまう!

▲定期検診は確実に、虫歯予防の効果があります!

口が乾くと唾液が減り、虫歯菌をやつけることができにくくなる。

チーズ、ヨーグルト、ゼリー、フルーツ、キシリトールガムなど


取り外し式のマウスピース矯正やワイヤー矯正などあります。

歯磨きは、最初に歯が生える6〜8か月くらいから始めます。
もちろん、赤ちゃんは自分ではできませんので、お母さんが磨いてあげることになります。
ただ、歯ブラシに慣らせるために、歯ブラシを持たせたり、軽くお口の中に入れる準備はしておきましょう。

母乳やミルクに含まれる少量の砂糖が原因で虫歯になることがあります。
特に寝てる時は唾液があまり出ないので、虫歯のリスクがあります。
歯科的には1才半で断乳をするのが理想ですが、寝る前の母乳やミルクは子供さんにとっては、精神的にも大事です。
なので、なるべくなら寝る前は避けた方が良いのですが、子供さんの様子を見ながら、無理をせずに徐々に減らしていってください。

特に決まりはありません。歯が生えたらすぐに使っても大丈夫です。
ただ、量は少なめにしてください。理由は、子供さんが気持ち悪がらない為と、お口の中が泡だらけになって、歯ブラシがしづらくなり、効果が落ちるからです。
また、気を付けるのは、お母さんが仕上げ磨きをしてる時に、小さい子供さんだと、寝かせて磨くのですが、歯磨き剤やお水を飲み込まないよう気を付けてくださいね。

特に問題はありません。
ただ、子供さんには大人用は苦いかと思いますので、子供さんが好きな味の歯磨き剤でした方が、歯磨きを嫌がらなくて、結果的に虫歯になりにくくなります

一般的はなりやすいです。
何故かというと、親が持ってる虫歯菌は子供さんが1才から2才にかけて、キスとか口移しで食べ物を与えたりした時に移ってしまうからです。
そして、親御さんが虫歯菌が多い方だと、必然的に子供さんも虫歯菌が多くなり、虫歯になりやすくなります。
また、家族で食べ物の好みが似てきますので、甘い物が好きなご家族はやはり虫歯になりやすいです。

歯が生えたら直ぐにするのが良いです。
生えたばかりの歯は柔らかいのですが、乳歯は元々柔らかいので、フッ素を塗って歯を固くしてあげる必要があります。

甘い物が虫歯になりやすいのですが、基本的には虫歯菌は糖質をエサにしてるために、スナック類やせんべいのような甘くないものでも虫歯になります。
特にだらだら食いはなりやすいので注意してくださいね。

当院は、矯正治療を除き全て保険治療でしています。ですので、安心して通って頂けましたらと思います。

遺伝する場合としない場合があります。
遺伝する場合・・・骨格的な問題がある方。例えば受け口とか出っ歯の方などです。
遺伝しない場合・・・柔らかい物ばかり食べてアゴが発達せずに乱ぐい歯になったり、乳歯が早く抜けて永久歯の位置がずれたり、指しゃぶりやベロを突き出すクセなどで、歯並びが悪くなる場合です。
ただ、家族で食習慣が似てるので、柔らかい物ばかり食べるというのは、遺伝ではありませんが、家族で似るという意味では遺伝に近いと言えるかもしれません。